menu
Ortodoncia

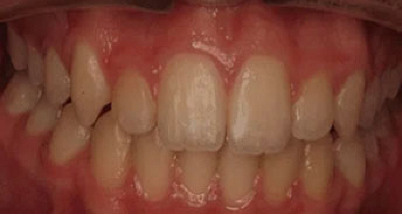
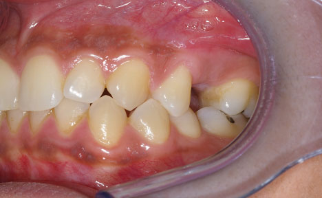
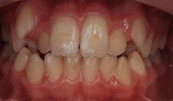
Casos clínicos de Ortodoncia

Buscamos tu mejor sonrisa

Explora casos clínicos de ortodoncia en Hernández Dental, donde la experiencia y tecnología avanzada se combinan para lograr sonrisas saludables y hermosas.

Buscamos tu mejor sonrisa
Accesibilidad
KIT DIGITAL